
1

2

3

Сделайте шаг к улыбке своей мечты с доктором
Кушнирук Владислав Олегович
Доктор-стоматолог
Высшее образование по специальности "Стоматология" и квалификация врач-стоматолог
Опыт:
8 лет
С уважением, доктор Кушнирук
Горячая линия
Стоматология в центре Киева / метро Вокзальная, Университет
Киев, Симона Петлюры 7/9
Пн – Сб: с 9.00 до 20.00
Работаем с понедельника по субботу

Дешевий імплант = біда?

О методах имплантации

Кейсы

Рабочие моменты


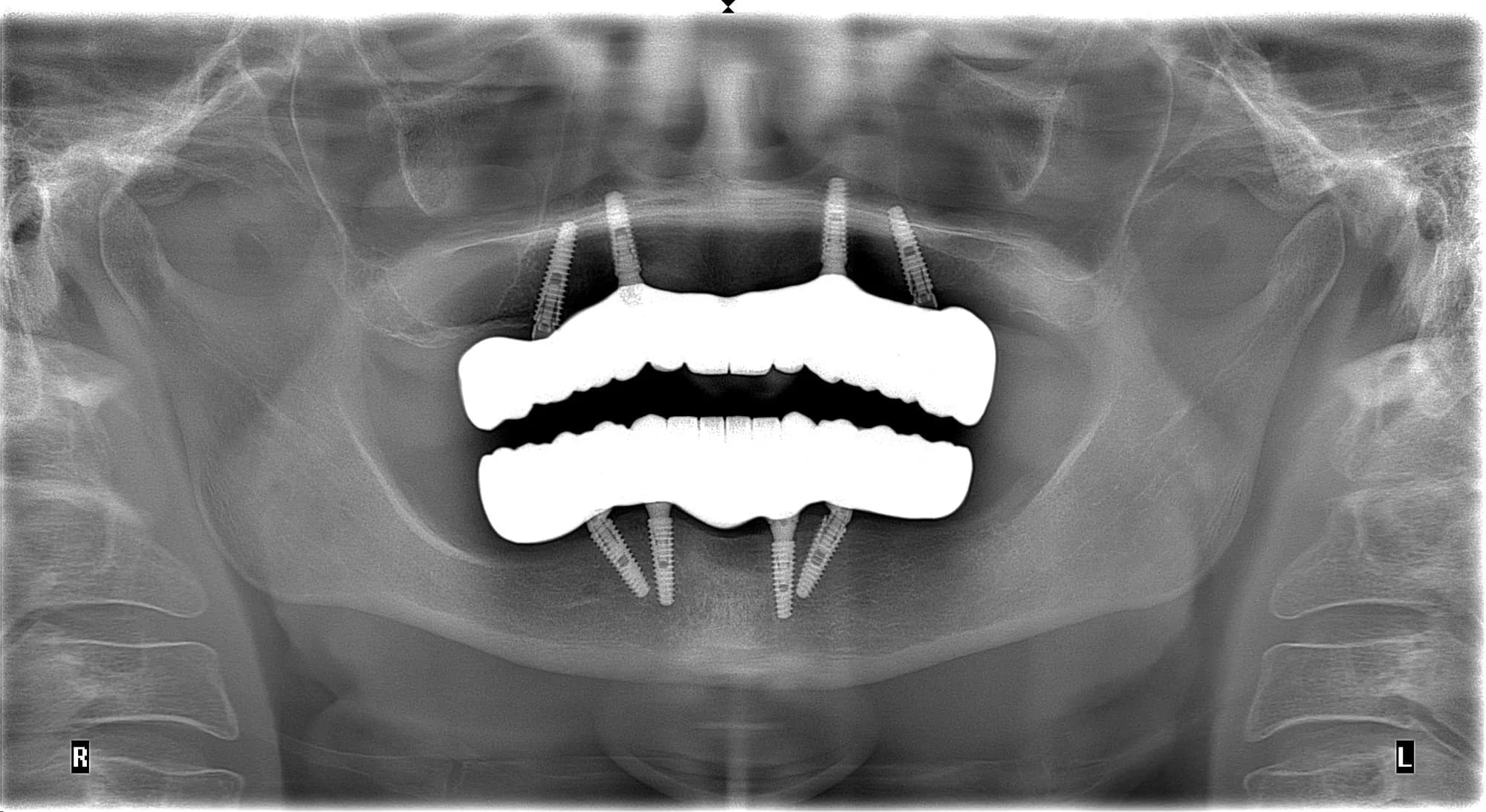
Проблема
Неякісно проведене протезування на імплантах після тотальної імплантації в іншій клініці. Злам протезів.
Решение
Виготовлення постійної конструкції з цирконію на титанових балках.
Сроки лечения
2 тижні

1

2

3

Кушнирук Владислав Олегович
Доктор-стоматолог
Высшее образование по специальности "Стоматология" и квалификация врач-стоматолог
Опыт:
8 лет
С уважением, доктор Кушнирук
Контакты
Горячая линия
Стоматология в центре Киева / метро Вокзальная, Университет
Киев, Симона Петлюры 7/9
О рекламе на сайте:
Этот сайт не предоставляет рекламные услуги третьим лицам. Сайт служит для ознакомления пользователей сайта с деятельностью Стоматологического кабинета ФЛП Кушнирука Владислава Олеговича, услугами клиники, информационными материалами стоматологического направления.
Информация и материалы на сайте размещены в ознакомительных целях и ни в коем случае не являются врачебной/медицинской консультацией.
resmile.com.ua © 2026. Все права защищены.
Разработка и продвижение